Blog
L'utilisation de brossettes interdentaires permet un nettoyage approfondi des espaces situés entre les dents et peut éviter une récidive de parodontite
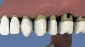
La couronne sur implant recouvre le pilier d'un implant dentaire, comme sur une dent naturelle, afin d’en restaurer l'esthétique et la fonction
Après préparation de gouttières ajustées à sa dentition, le patient utilise chez lui un gel actif de blanchiment qu'il injecte dans cette gouttière
La dévitalisation est un acte relativement courant qui consiste à retirer le nerf d’une dent lorsque celui-ci a été endommagé par une carie profonde, une fêlure, un choc...
Contrairement aux croyances populaires, la mauvaise haleine, appelée aussi halitose, ne vient pas de l’estomac mais de la bouche dans 85% des cas.
Découvrez notre collection de fiches et vidéos pédagogiques






